Immunomodulatory Effect of Vitamin D3 in Rats with Induced Osteoarthritis
Article Main Content
Introduction
The OA may be caused by an imbalance between anabolic and catabolic processes within the cartilage. One of the effects of increased catabolic changes is the presence of products of extracellular matrix degradation in the synovial fluid, which leads to the joint microenvironment alteration and stimulates chondrocytes activity, which attempts to regenerate the normal cartilage structure, and this increased pro-inflammatory cytokines expression (Teslow, 2001).
There are two types of osteoarthritis: primary and secondary; primary osteoarthritis is a chronic degenerative disease which is influenced by aging yet not caused by it; there is evidence that genetic factors are involved in approximately 60% of all cases of OA, while secondary osteoarthritis tends to appear early in life, based on a specific causes, usually an injuries, diabetes or obesity even though it has a different etiology from the primary form, both symptoms and pathology are identical (Bijlsmaet al., 2011; Hochberget al., 2012).
OA was degeneration of the articular cartilage, synovitis, thickening of the subchondral bone, osteophyte formation, and degenerative changes of the meniscus and ligaments. These features lead to pain, loss of joint function and disabilities, and diagnosis of OA depends on clinical symptoms, physical examination and radiological evaluation (Felson, 2006). Moreover, global inflammation in synovium during OA affects chondrocytes that are responsible for ECM turnover and, thus, cartilage homeostasis (Benitoet al., 2005).
Local production of inflammatory mediators is associated with cartilage degradation and synovial cell activation; these events are linked with a more systemic pathway. The inflammatory events occurring within joint tissues could be reflected outside the joint in plasma and peripheral blood leukocytes (PBLs) of patients (Scanzelloet al., 2011). Histologically complement deposition increases during an acute phase of the disease so, implying that the complement system is chronically activated in OA, various ECM breakdown products, such as cartilage oligomeric matrix protein (COMP), fibromodulin, and the NC4 domain of type 4 collagen, have all been shown to activate certain components of the complement pathway (Wanget al., 2011). Synovitis in OA that once degraded, cartilage fragments fall into the joint and contact the synovium, then foreign bodies synovial cells react by producing inflammatory mediators found in synovial fluid; these mediators can activate chondrocytes present in the superficial layer of cartilage; which leads to metalloproteinase synthesis and increase cartilage degradation, these mediators can also induce synovial angiogenesis and increase the synthesis of inflammatory cytokines and MMPs by synovial cells themselves. Thus, OA synovitis perpetuates the cartilage degradation (Sellam & Berenbaum, 2010; Scanzelloet al., 2011).
Materials and Methods
Experimental Animals
Total number of male rats (89) of Rattus norvegicus were used and divided into three groups; each group was anesthetized (before injection) with ketamine: xylazine (2:1) (Muratet al., 2007; Schmitzet al., 2010). The first group was regarded as a control group, which was composed of 19 rats injected with 0.5 ml of normal saline (0.9%) at right knee joints. The second group (OA induced) consisted of 35 rats injected with papain enzyme at a dose of 10 mg at the intra-articular region of the right knee picture (Fig. 1). The treated group also consisted of 35 rats, which were firstly injected with papain enzyme at a dose of 10 mg then, after two weeks of injection, they were treated the rats with vitamin D, which was prepared according to Schmitzet al. (2010), each rat was injected with 0.6 μg/kg of vitamin D in the intra-articular region. The treatment period extends to two weeks, with one injection every week. All studied groups were sacrificed after 28 days from the beginning of the experimental design.
Fig. 1. The knee joint (a), the articular region for papain injection to induced (OA) (b).
Macroscopic Examination
The rats were sacrificed, and the condyles at knee joints were examined for macroscopically observations like degradation of condyles surface, the appearance of patella, erosion, hypertrophy, redness, swelling, bone destruction, and other features were included.
Tissue Samples Collection
The knee joints (femoraI-tibial) articular regions of the rats in each group were dissected, the skin and connective tissue, and muscles that surrounding the region were removed, and then the area between femur and tibia was separated and cut with sharp blade, then washed with normal saline and immersed in formalin (10%) for local immune response study. All tissue samples that isolated from each rats was processed according to Luna (1968) and Druryet al. (1976): 10% Formalin Formal Solution were used to stabilize the samples for 24 hours, the knee joints samples were placed in the formalin solution-concentrated nitric acid to remove the calcium from the bone for 48 hours with the solution changed every four hours, then processed like any tissue samples (Druryet al., 1976), the samples were washed with running water for 24 hours and then with distill water, the pieces of knee joints transferred into graded concentration of ethyl alcohol (70%, 80%, 90%) for two hours per each concentration and then two times with 100% absolute alcohol for one hour for each time, specimens was treated with mixture from absolute alcohol and chloroform at percentage 1:2, 1:1, 2:1, respectively for one hour per concentration and then left in pure chloroform for 12 hours, then infiltrated in pure liquid paraffin wax (56°C) with replaced the wax every two hours (60°C), then left in the paraffin wax for 24 hours on the warm plate, the samples were embedded in melting paraffin, left in room temperature to be harden, the paraffin block were cut with a thickness of (5–7) microns and stained with Hematoxylin–Eosin.
Results
Macroscopic and Radiographic Observations
Macroscopic Observations
The macroscopic observations on the articular cartilage of the knee joint related to the OA rats showed variable changes at the joint region like local inflammation, erythma, redness, and swelling with extensive inflammation post 28 days of papain injection compared with (OA) rats treated with vitamin D3 and the control group which showed normal region, no signs of inflammation (Figs. 2–4).
Fig. 2. Local inflammation, erythma on (OA) rat knee joint post (14) days post papain injection.
Fig. 3. Redness at articular cartilage region, severe inflammation and swollen post (28) days of papain injection at the knee joint.
Fig. 4. Showed normal patella () covered the articular region of treated rat with vitamin (D3).
Results on OA rats showed the articular cartilage surface degradation, dense fibrous tissue, destruction and punctuate depression, erosion, glossy surface, and bone destruction of OA knee joints compared with OA treated with vitamin D3 and control rats which appeared with normal cartilage surface, smooth and intact, in addition, the pictures revealed to normal patella and normal tendon on articular cartilage region of treated rats with vitamin D3 compared to control pictures, (Figs. 5–7).
Fig 5. Showed two condyles from (OA) knee joint (), moderate degradation (), mild erosion () and dense accumulation of fibrous tissue ().
Fig. 6. Macroscopic observation in (OA) rat model showed knee joint, severe destruction and destruction () of articular cartilage surface, rough and irregular separation () between the condyles.
Fig. 7. Image on knee joint from treated rats with vitamin (D3) showed normal patella () and normal tendons ().
Histological Study
Sections from the control knee joint revealed that synovial cavity lined with thin membrane known synovium it was connective tissue lined the inner surface of synovial joint capsule and, with direct contact with fibrous membrane formed many folds extend into the joint cavity from the connective tissue of the capsule, the joint cavity itself appeared highly vascularized with specialized cells (synoviocytes) observed, one type attached the tissue surface are large, rounded, macrophage like synoviocytes (type A) showed as cells formed layer like the epithelial layer at the cartilage surface, while the other type known fibroblast like synoviocytes (type B), epiphysis growth plate from control rat showed the growth plate structure composed of resting cells, proliferation chondrocytes, ossification zone with thin bone spicules separated by marrow cavities (Figs. 8–10).
Fig. 8. Photomicrograph of normal articular cartilage showing the variable zone of cartilage, superficial (), middle (), deep (), and calcified zone (), the chondrocytes showed heterogeneity in size and some with lacuna (), fibrous capsule () and normal synovium () extend as fold to the joint cavity (JC) (H & E) stain.
Fig. 9. Section from control rat tibia-femoral joint shows the synovium folds (), epiphyseal plate () with arranged chondrocytes, slender, bony trabculae () enclose irregular bone marrow cavities () and the adipose from haemopioetic tissue noticed (). (H & E) stain.
Fig. 10. Section from normal rat knee joint showing structure of synovium tissue, composed of special cells (type A) known synoviocytes () or synovial lining cells, and inner layer of adipose tissue (), synoviocyte (type B) (). (H & E) stain.
Results from papain injected knee joints revealed that an articular space was damaged, extensive degeneration, most chondrocytes lost the normal cellular morphology, narrowing the joint cavity between femoral condyles and tibial epiphyseal plate, rough surface, irregular discontinuity of superficial layer, condensation, proliferation of chondrocytes, cells death until the mid-zone of cartilage, moreover hypercellularity, disorientation of chondrocytes columns and formation of chondrocytes clusters (Fig. 11).
Fig. 11. Histological section of (OA) rat cartilage shows hypercellularity of surface layer (), proliferation of chondrocyte (), hypertrophied of synovial tissue (), discontinuous surface (), the epiphyseal plate () with irregular trabeculae (). (H & E) stain.
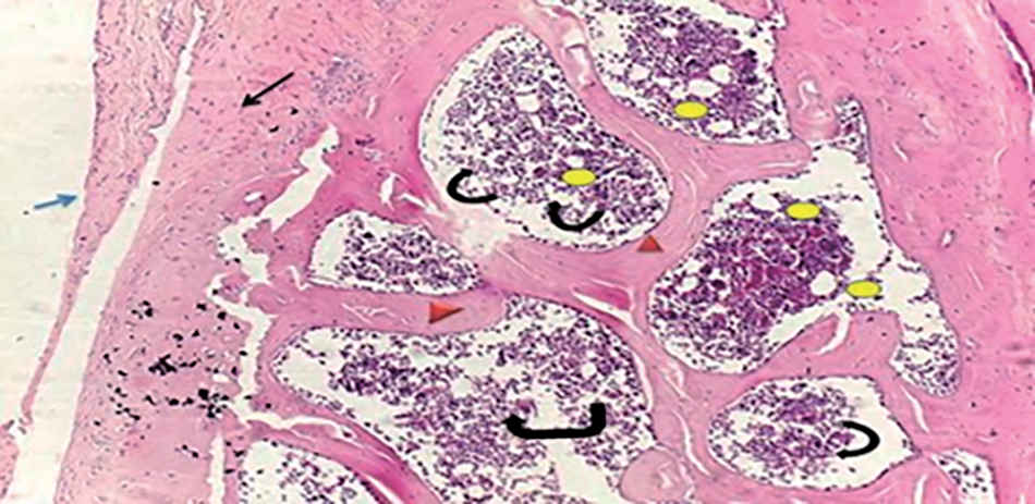
Sections from OA rats at tibia plateau region showed more fibrillation, shrunken chondrocytes with fragmented pyknotic nuclei, and extensive area of degenerated cartilage involving the entire zone of articular cartilage; the fibrillation and fissuring were noticed, and changes like denudation, erosion, and replacement by fibrous tissue were observed (Fig. 12). Moreover, the OA sections from patello femoral joint post 28 days showed underlying bone, increased of osteoclasts and osteoblast activity, alterations in the formation of bone and subchondral structure. This layer appeared with multinucleate cells and embedded within bone matrix, irregular collapse trabeculae, irregular osteoblasts, bone marrow cavity extensively infiltrated with osteoclast, abnormal cellularity, and partial replacement of bone marrow by fibrotic tissue (Figs. 13 and 14).
Fig 12. Section from (OA) rat at tibia plateau region showed moderate to severe synovitis (), discontinuity of synovium (), extensive chondrocytes degeneration (), foci of aggregated chondrocyte () noticed, expanded adipose tissue () with fibrous connective tissue (). (H & E) stain.
Fig. 13. Histological section from (OA) rat articular cartilage shows denudation and complete degeneration of cartilage surface (), hyper-proliferation of inflammatory cells (), collapsed subchondral trabeculae () enclosed congested, cellular marrow cavities () and fibrous synovium (). (H & E) stain.
Fig. 14. Section from (OA) rat patello-femoral joint showed collapsed, fissuring trabeculae (), multi-nucleated subchondral bone (), fibrillation and degenerated articular cartilage surface (), fibrous synovium (), hyperproliferation of osteoblast () and more congested marrow cavities () with increased osteoclasts (). (H & E) stain.
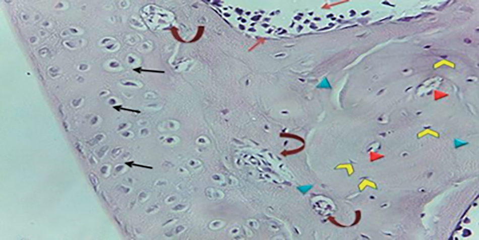
The study clarified the role of vitamin D on histological changes of the knee joint in (OA) rats; the articular joint showed moderate to mild degeneration, less proliferation of chondrocytes, smooth surface of cartilage, no fibrillation, the chondrocyte was more regular, normal synovial joint and short columns of chondrocytes were noticed (Fig. 15).
Fig. 15. Section from (OA) rats treated with vitamin (D) showing normal hyaline cartilage () at the joint region, the epiphyseal plate () with more regular chondrocytes (), normal joint cavity (), the subchondral bone formed trabeculae () surrounded the marrow cavity () with mild inflammation, small osteon centers () were noticed and continuity of cartilage matrix () noticed. (H & E) stain.
Moreover, rat knee joint with (vitamin D) post two weeks of (OA) induction showed normal synovial tissue that synoviocytes arranged as single layer resembles the epithelial layer, the chondrocytes more regular, isogenous group of chondrocytes appeared at the deep layer of cartilage, the subchondral plate differentiate to trabeculae with normal marrow cavities, proliferation of differentiated osteoblast arranged regularly and still folds of mild inflamed synovial membrane noticed although layer epiphyseal growth plate appeared clearly. Also osteon centers showed at the deep region of subchondral bone (Fig. 16).
Fig. 16. High power magnification of (OA) rat treated with vitamin (D) shows structure of bone formation, proliferating osteoblast (), regular chondrocytes () on the epiphyseal growth plate, haversian (osteon) form () composed of haversian canal () and concentric osteocytes (), also foci of active proliferating osteoblast (). (H & E) stain.
Discussion
According to recent results, the effect of papain induced OA in experimental rats, knee joint articular cartilage degeneration, and histological features was established. Moreover, the macroscopical and radiological results were recorded, and control rats showed the normal structure of cartilage, the joints, normal synovium, synovial joint, normal epiphyseal plate, and subchondral bone. These results clarified that all rats were injected with a normal neutral solution and did not cause any changes, the results in agreement with previous studies dealing with the histological structure of normal articular cartilage (Vincent & FE, 2014).
Knee joint sections from (OA) rats group showed obvious changes like cartilage with extensive degeneration, loss of most chondrocytes, a rough, fibrillar cartilage surface, some chondrocytes arranged irregularly with dis-orientation and dead cells observed at the mid zone of cartilage, this result may be due to the effect of papain since it was a proteolyses enzyme, so may cause degeneration and damage to the articular cartilage and lead to change with extracellular matrix (ECM) which it is an important component of cartilage and this all related to local immune response at the knee joint, these findings discussed by other researchers that the papain injected at intra-articular region caused the distraction, disrupts cartilage metabolism, chondrocytes death and lesions in the subchondral bone, moreover the loss of (ECM), loss of growth factors and excessive levels of reactive oxygen species (ROS) (Chevalieret al., 2006; Katzet al., 2011).
In addition, these inflammatory cytokines not only have a destructive effect on articular cartilage, but they also have a multi-level impact that involves chondrocytes aging and death, decreasing the synthesis of (ECM) components (Wojdasiewiczet al., 2014).
OA sections from patello-femoral joint at 28 days post papain injection showed subchondral bone underlying the cartilage, increased osteoclasts, alteration in the bone formation, cellularity, and partial replacement of bone marrow by fibrotic tissue; this may be related to the OA which lead to cartilage degeneration and damage of the superficial layer, the inflammation reached to the deep region caused increased of osteoclast cells and loss the cartilage which caused deterioration these results also in agreement with Januszet al. (2001) and Boveet al. (2003) who mentioned that OA consisted of increased activity of both osteoclasts and osteoblast in the trabeculae of bone immediately subjacent to the area of cartilage loss and these changes associated with remodeling and may be induced by the increased load in the subchondral bone which due to the loss of cartilage.
Results also suggested by others who clarified that the inflammatory cytokines contribute to proteolytic enzymes that decompose articular cartilage, affect chondrocytes, synovial cells, and other articular and periarticular tissues, (TNF), play an important role in the etiology and pathogenesis of OA and the patho-physiologic response of the synovial tissue and the joint cartilage in OA that there was an imbalance between the anabolic and catabolic processes which it is a common feature of this disease (Furuzawa-Carballedaet al., 2008; Malemud & Schulte, 2008). Furthermore, infiltration of immune cells T, B-cells, and macrophages have been detected in synovial tissue of (OA) patients, and immune complexes against cartilage components are also found in cartilage, synovial tissue, and plasma in OA patients (Hillet al., 2007; Haseeb & Haqqi, 2013).
Most sections of OA knee joint at 14 and 28 days post papain injection showed moderate to severe synovial inflammation, vascularization, synovium hyperplasia, folded synovial membrane, and inflammation extending to subchondral, trabeculae, and bone marrow, also increased the fatty tissue of knee joint fibrous capsule, these result regarded to the (OA) pathogenesis since there was an injury so there is heavy infiltration of leukocytes and macrophage to the local site of inflammation. Also, the congested capillaries were the most common sign of tissue inflammation, and the changes in subchondral bone may be related to the effect of cartilage loss and degradation, so bone growth and remodeling are also affected by OA cartilage.
Present results also mentioned by other studies showed that the inflammation of the synovium plays a critical role in OA pathogenesis, also to the infiltration of neutrophil, monocytes, T-lymphcytes and thought that synovitis contributes significantly to the development of pain, cartilage degradation, and joint inflammation (Pearleet al., 2007 and Suttonet al., 2009). Knee joint OA rats but treated with vitamin D showed moderate to mild degeneration, smooth surface of cartilage, the chondrocytes more regular and arranged as short columns, and normal synovial membrane that the surface synovium intima appeared like a single epithelial layer, and this may be caused by the effect of vitamin D which regulate the chondrocytes proliferation or protect the cartilage from the papain which induced OA. Also discussed by others who showed that vitamin D prevents the stability and life of chondrocytes, which leads to cartilage protection and synthesis of (ECM), the proliferation of chondrocytes due to depletion of (ECM) initially, and the lowered number of chondrocytes observed later, which related to lower metabolic activity of these cells (Man & Mologhianu, 2014).
Sections from OA rats treated with vitamin D post 28 days showed normal chondrocytes, continuity of ECM, the subchondral bone differentiation to trabeculae, normal marrow cavities, foci of proliferation osteoblast, and there was the remodeling of compact bone that osteon appear at the deep region of epiphyseal plate growth, this result considered that vitamin D might increase the synthesis of ECM, control the mechanism between catabolism and anabolism, or stimulate secretion of growth factors and activated the chondrocytes proliferation. Recorded findings suggested that vitamin D enters the bloodstream and travels to tissues possessing vitamin D receptors (VDR) such as bone, bone marrow, and chondrocytes, and the binding leads to promoter of various target genes and the activation of (VDRs) results in the absorption of calcium to regulate the circulating levels of calcium and phosphate for normal mineralization of bone (Guillotet al., 2010; St-Arnaud & Naja, 2011; Bachet al., 2014).
Conclusion
Vitamin D is a key immune-regulator in the reduction of inflammation, and it exerts influence on T and B lymphocytes, macrophages, and dendritic cells also VDRs are present in most immune cells. When vitamin D binds to these receptors, then these receptors are activated; vitamin D prevents the stability and life of chondrocytes, which leads to cartilage protection and synthesis of ECM and inhibits the inflammation resulting from cartilage damage.
References
-
Bach, F. C., Rutten, K., Hendriks, K., Riemers, F. M., Cornelissen, P., de Bruin, A., Arkesteijn, G. J., Wubbolts, R., Horton, W. A., Penning, L. C., Tryfonidou, M. A. (2014). The paracrine feedback loop between vitamin D3 (1, 25 (OH) 2D3) and PTHrP in prehypertrophic chondrocytes. Journal of Cellular Physiology, 229(12), 1999–2014.
Google Scholar
1
-
Benito, M. J., Veale, D. J., FitzGerald, O., Van den Berg, W. B., & Bresnihan, B. (2005). Synovial tissue inflammation in early and late osteoarthritis. Annals of the Rheumatic Diseases, 64(9), 1263–1267.
Google Scholar
2
-
Bijlsma, J. W., Berenbaum, F., & Lafeber, F. P. (2011). Osteoarthritis: An update with relevance for clinical practice. The Lancet, 377(9783), 2115–2126.
Google Scholar
3
-
Bove, S., Calcaterra, S. L., Brooker, R. M., Huber, C. M., Guzman, R. E., Juneau, P. L., Schrier, D. J., & Kilgore, K. S. (2003). Weight bearing as a measure of disease progression and efficacy of anti-inflammatory compounds in a model of monosodium iodoacetate-induced osteoarthritis. Osteoarthritis and Cartilage, 11(11), 821–830.
Google Scholar
4
-
Chevalier, X., Mugnier, B., & Bouvenot, G. (2006). Targeted anticytokine therapies for osteoarthritis. Bulletin de L’academie Nationale de Medecine, 190(7), 1411–1420.
Google Scholar
5
-
Drury, R. A. B., Wallington, E. A., & Cameron, S. R. (1976). Carleton’s Histological Technique. 4th ed. London, New York, Tornto: Oxford University Press.
Google Scholar
6
-
Felson, D. T. (2006). Osteoarthritis of the knee. New England Journal of Medicine, 354(8), 841–848.
Google Scholar
7
-
Furuzawa-Carballeda, J., Macip-Rodriguez, P., & Cabral, A. (2008). Osteoarthritis and rheumatoid arthritis pannus have similar qualitative metabolic characteristics and pro-inflammatory cytokine response. Clinical & Experimental Rheumatology, 26(4), 554–560.
Google Scholar
8
-
Guillot, X., Semerano, L., Saidenberg-Kermanac’h, N., Falgarone, G., & Boissier, M. -C. (2010). Vitamin D and inflammation. Joint Bone Spine, 77(6), 552–557.
Google Scholar
9
-
Haseeb, A., & Haqqi, T. M. (2013). Immunopathogenesis of osteoarthritis. Clinical Immunology, 146(3), 185–196.
Google Scholar
10
-
Hill, C. L., Hunter, D. J., Niu, J., Clancy, M., Guermazi, A., Genant, H., Gale, D., Grainger, A., Conaghan, P., Felson, DT. (2007). Synovitis detected on magnetic resonance imaging and its relation to pain and cartilage loss in knee osteoarthritis. Annals of the Rheumatic Diseases, 66(12), 1599–1603.
Google Scholar
11
-
Hochberg, M. C., Altman, R. D., April, K. T., Benkhalti, M., Guyatt, G., McGowan, J., Towheed, T., Welch, V., Wells, G., Tugwell, P. (2012). American College of Rheumatology 2012 recommendations for the use of nonpharmacologic and pharmacologic therapies in osteoarthritis of the hand, hip, and knee. Arthritis Care & Research, 64(4), 465–474.
Google Scholar
12
-
Janusz, M. J., Hookfin, E. B., Heitmeyer, S. A., Woessner, J. F., Freemont, A. J., Hoyland, J. A., Brown, K. K., Hsieh, L. C., Almstead, N. G., De, B., Natchus, M. G., Pikul, S., Taiwo, Y. O. (2001). Moderation of iodoacetate-induced experimental osteoarthritis in rats by matrix metalloproteinase inhibitors. Osteoarthritis and Cartilage, 9(8), 751–760.
Google Scholar
13
-
Katz, N., Borenstein, D. G., Birbara, C., Bramson, C., Nemeth, M. A., Smith, M. D., & Brown, M. T. (2011). Efficacy and safety of tanezumab in the treatment of chronic low back pain. Pain, 152(10), 2248–2258.
Google Scholar
14
-
Luna, L. G. (1968). Manual of Histologic Staining Methods of the Armed Forces Institute of Pathology. 3rd ed. NY: McGraw-Hill.
Google Scholar
15
-
Malemud, C. J., & Schulte, M. E. (2008). Is there a final common pathway for arthritis? International Journal of Clinical Rheumatology, 3(3), 253–268.
Google Scholar
16
-
Man, G., & Mologhianu, G. (2014). Osteoarthritis pathogenesis-a complex process that involves the entire joint. Journal of Medicine and Life, 7(1), 37–41.
Google Scholar
17
-
Murat, N., Karadam, B., Ozkal, S., Karatosun, V., & Gidener, S. (2007). Quantification of papain-induced rat osteoarthritis in relation to time with the Mankin score. Acta Orthopaedica et Traumatologica Turcica, 41(3), 233–237.
Google Scholar
18
-
Pearle, A., Scanzello, C., George, S., Mandl, L., DiCarlo, E., & Peterson, M. (2007). Elevated high-sensitivity C-reactive protein levels are associated with local inflammatory findings in patients with osteoarthritis. Osteoarthritis and Cartilage, 15(5), 516–523.
Google Scholar
19
-
Scanzello, C. R., McKeon, B., Swaim, B. H., DiCarlo, E., Asomugha, E. U., & Kanda, V. (2011). Synovial inflammation in patients under- going arthroscopic meniscectomy: Molecular characterization and relationship to symptoms. Arthritis & Rheumatism, 63(2), 391–400.
Google Scholar
20
-
Schmitz, N., Laverty, S., Kraus, V., & Aigner, T. (2010). Basic methods in histopathology of joint tissues. Osteoarthritis and Cartilage, 18, 113–116.
Google Scholar
21
-
Sellam, J., & Berenbaum, F. (2010). The role of synovitis in pathophysiology and clinical symptoms of osteoarthritis. Nature Reviews Rheumatology, 6(11), 625–635.
Google Scholar
22
-
St-Arnaud, R., & Naja, R. P. (2011). Vitamin D metabolism, cartilage and bone fracture repair. Molecular and Cellular Endocrinology, 347(1–2), 48–54.
Google Scholar
23
-
Sutton, S., Clutterbuck, A., Harris, P., Gent, T., Freeman, S., & Foster, N. (2009). The contribution of the synovium, synovial derived inflammatory cytokines and neuropeptides to the pathogenesis of osteoarthritis. The Veterinary Journal, 179(1), 10–24.
Google Scholar
24
-
Teslow, L. (2001). Matrix metalloproteinase and proinflammatory cytokine production by chondrocytes of human osteoarthritic cartilage. Arthritis Rheum, 44, 585–594.
Google Scholar
25
-
Vincent, TL., & FE, W. (2014). Osteoarthritis. Medicine (Baltimore), 42, 213–219.
Google Scholar
26
-
Wang, Q., Rozelle, A. L., Lepus, C. M., Scanzello, C. R., Song, J. J., Larsen, D. M., Crish, J. F., Bebek, G., Ritter, S. Y., Lindstrom, T. M., Hwang, I., Wong, H. H., Punzi, L., Encarnacion, A., Shamloo, M., Goodman, S. B., Wyss-Coray, T., Goldring, S. R., Banda, N. K., Thurman, J. M., et al. (2011). Identification of a central role for complement in osteoarthritis. Nature Medicine, 17(12), 1674–1679.
Google Scholar
27
-
Wojdasiewicz, P., Poniatowski, Ł.A., & Szukiewicz, D. (2014). The role of inflammatory and anti-inflammatory cytokines in the pathogenesis of osteoarthritis. Mediators of Inflammation, 2014, 1–19.
Google Scholar
28





